O governo do estado de São Paulo lançou hoje (14) um programa de tratamento avançado contra o câncer com a utilização de terapia celular. Dois novos centros de saúde, um na capital paulista e um em Ribeirão Preto, produzirão compostos para a terapia celular CAR-T, que utiliza células T para combater o câncer de sangue.
A capacidade inicial de tratamento é de até 300 pacientes por ano. O programa faz parte de um acordo de cooperação entre o Instituto Butantan, a Universidade de São Paulo (USP) e o Hemocentro de Ribeirão Preto.
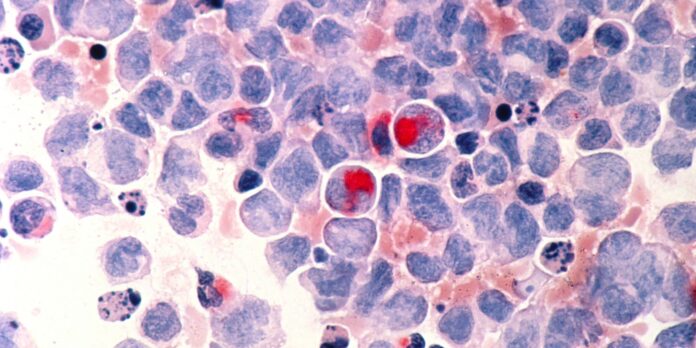
De acordo com o governo do estado, esse tipo de terapia celular já se mostrou altamente eficaz no tratamento de alguns tipos de câncer de sangue, como linfoma e leucemia linfóide aguda. As novas unidades de São Paulo e de Ribeirão Preto serão equipadas com estruturas que permitirão a realização dos principais processos da nova tecnologia, como produção, desenvolvimento, armazenamento e aplicação da terapia celular.
As instalações incluem laboratórios de controle de qualidade, salas de criopreservação, salas de produção de vírus, salas limpas de produção de células CAR-T, salas de preparo de meios e soluções, e áreas destinadas ao armazenamento do produto final e dos insumos em tanques criogênicos.
“Curar uma pessoa que estava em situação quase terminal é uma emoção indescritível. Estes dois centros são fruto de anos de dedicação de uma grande equipe. Somos mais de 50 pesquisadores trabalhando há décadas em um único objetivo”, destacou o presidente do Instituto Butantan e coordenador do estudo, Dimas Covas.
A tecnologia celular CAR-T é um tipo de imunoterapia que utiliza linfócitos T, células do sistema imune responsáveis por combater agentes patogênicos e matar células infectadas. O tratamento consiste em retirar e isolar os linfócitos T do paciente, ativá-los, programá-los para conseguirem identificar e combater o câncer e, depois, inseri-los de volta no organismo do indivíduo. Todo o processo pode durar cerca de dois meses.
Fonte: Agência Brasil

Últimas
Cidades
Emprego
PMDF
Mais